Cirugía Oral
Cirugía Oral en Juliaca
Resuelve problemas dentales complejos y mejora tu salud bucal con procedimientos de Cirugía Oral. En Rio Odontología, realizamos extracciones de terceros molares, tratamientos para dientes retenidos y otros procedimientos quirúrgicos con la precisión y cuidado que necesitas para una recuperación rápida y segura.
- Materiales de alta calidad
- Técnicas avanzadas
- Seguridad y naturalidad
- Sonrisa renovada
servicio
¿Qué es la Cirugía Oral?
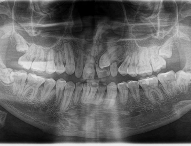
La cirugía oral es una rama de la odontología que se ocupa de tratar quirúrgicamente enfermedades, lesiones y problemas bucodentales complejos que no pueden resolverse con tratamientos convencionales.
Los procedimientos más comunes incluyen la extracción de muelas del juicio (terceros molares) y dientes retenidos, así como la eliminación de quistes y otros problemas en la cavidad bucal.
Estos procedimientos se realizan con técnicas avanzadas y anestesia local para asegurar el confort del paciente en cada etapa.

Tienes Emergencias?
Si estas en una urgencia o emergencia , contáctanos para poder ayudarte en la medida posible
Este servicio es para ti si…
- Necesitas extraer tus muelas del juicio debido a molestias, falta de espacio o crecimiento anómalo.
- Tienes dientes retenidos o que no han erupcionado correctamente y requieren intervención quirúrgica.
- Presentas infecciones o quistes en la boca que deben ser eliminados.
- Requieres una intervención quirúrgica previa a un tratamiento de ortodoncia o implantes.
- Buscas una solución para problemas bucodentales complejos que afectan tu calidad de vida y salud.
Preguntas Frecuentes
Los procedimientos se realizan con anestesia local, y contamos con opciones de sedación consciente para reducir el estrés y garantizar una experiencia sin dolor. Tras la intervención, es común sentir una leve molestia que puede manejarse con analgésicos.
El tiempo de recuperación varía, pero generalmente dura entre una semana y diez días. Durante este período, se recomienda seguir las indicaciones del especialista para facilitar la cicatrización.
Las muelas del juicio suelen extraerse si causan dolor, están retenidas, no tienen suficiente espacio para erupcionar o representan un riesgo para la alineación de otros dientes.
Se recomienda evitar alimentos duros y calientes, mantener una buena higiene bucal y no realizar actividades intensas en los primeros días. Es fundamental seguir las indicaciones del dentista para evitar infecciones y facilitar la cicatrización.
Es recomendable descansar las primeras 24 horas y evitar actividades físicas intensas. La mayoría de los pacientes pueden retomar sus actividades normales al cabo de uno o dos días.
Alivio de molestias
Soluciona problemas dentales que causan dolor.
Mejora la salud bucal
Previene complicaciones futuras.
Rápida recuperación
Técnicas avanzadas para una recuperación eficiente.
Confort
Procedimientos seguros con opciones de sedación.
Prevención:
Protege la alineación dental y la estructura ósea.
¡Agenda tu cita hoy
Somos un staff de profesionales conformados por odontólogos especializados, técnicos, asistentes y personal administrativo de primer nivel. nuestro mayor orgullo.
999 99 1591